Red Paper
CONTACT: +91-9711224068
International Journal of Mosquito Research
  • Printed Journal
  • Indexed Journal
  • Refereed Journal
  • Peer Reviewed Journal

Impact Factor (RJIF): 5.82

Peer Reviewed Journal

Vol. 5, Issue 1, Part B (2018)

Molecular surveillance of dengue infections in Sabya governate of Jazan region, Southwestern Saudi Arabia

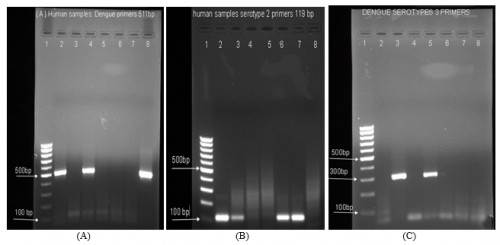
(A) Agarose gel electrophoresis of RT-PCR using D1-D2 primers. Lane 1: 100bp ladder, lane 2: positive control, lane 3, 5, 6 and 7 negative samples, land 4 and 8 positive samples. (B) Agarose gel electrophoresis of nested PCR using D1-TS2 primers. Lane 1: 100bp ladder, lane 2: positive control, lane 3, 6 and 7 positive samples, land 4, 5 and 8 negative samples. (C) Agarose gel electrophoresis of nested-PCR using D1-TS32 primers. Lane 1: 100bp ladder, lane 2: negative control, lane 3: positive control, lane 4, 6, 7and 8 negative samples, land 5 positive samples.
Fig. 1: (A) Agarose gel electrophoresis of RT-PCR using D1-D2 primers. Lane 1: 100bp ladder, lane 2: positive control, lane 3, 5, 6 and 7 negative samples, land 4 and 8 positive samples. (B) Agarose gel electrophoresis of nested PCR using D1-TS2 primers. Lane 1: 100bp ladder, lane 2: positive control, lane 3, 6 and 7 positive samples, land 4, 5 and 8 negative samples. (C) Agarose gel electrophoresis of nested-PCR using D1-TS32 primers. Lane 1: 100bp ladder, lane 2: negative control, lane 3: positive control, lane 4, 6, 7and 8 negative samples, land 5 positive samples.
Identities between DEN-2 from Sabya and DEN-2 of India(gb|JN935383.1) Dengue virus strain VCRC/DENV2/03/10 polyprotein gene, partial cds Length=508, Score = 848 bits (459), Expect = 0.0, Identities = 471/476 (99%), Gaps = 3/476 (1%), Strand=Plus/Plus
Fig. 2: Identities between DEN-2 from Sabya and DEN-2 of India(gb|JN935383.1) Dengue virus strain VCRC/DENV2/03/10 polyprotein gene, partial cds Length=508, Score = 848 bits (459), Expect = 0.0, Identities = 471/476 (99%), Gaps = 3/476 (1%), Strand=Plus/Plus
Identities between DEN-3 from Sabya and DEN-3 of India (gb|KF954949.1) Dengue virus 3 isolates 13GDZDVS30E, complete genomeLength=10677 Score = 861 bits (466), Expect = 0.0, Identi-ties = 473/476 (99%), Gaps = 1/476 (0%, Strand=Plus/Plus
Fig. 3: Identities between DEN-3 from Sabya and DEN-3 of India (gb|KF954949.1) Dengue virus 3 isolates 13GDZDVS30E, complete genomeLength=10677 Score = 861 bits (466), Expect = 0.0, Identi-ties = 473/476 (99%), Gaps = 1/476 (0%, Strand=Plus/Plus
DEN-2 serotype similarity tree.
Fig. 4: DEN-2 serotype similarity tree.
DEN-3 serotype similarity tree.
Fig. 5: DEN-3 serotype similarity tree.
International Journal of Mosquito Research

International Journal of Mosquito Research

International Journal of Mosquito Research
Call for book chapter